撰文/品味牙醫
其實很多人蛀牙的大小已經不適用健保樹脂填補了,但又沒到牙痛抽神經做假牙的程度,因此介於兩者之間的 「 3D 齒雕 」就是很適合的方案。傳統 3D 齒雕 可能需要 1~2 週的工作天才能完成,如果是一日快速 3D 齒雕的話,幾個小時就能完成囉~
備註:本文中的「一日假牙」指的是「一日齒雕」或稱「 3D 齒雕」
齒雕 :如何做一日快速假牙
以一日假牙來說,要快速完成的話,不外乎在傳統流程的四個方面調整:
一日齒雕主要著重在縮減第 3 項和第 4 項的時間,醫師透過 3shape 口掃機將牙齒的 3D 模型掃描出來後,其實只要按一下滑鼠,就可以直接透過網路寄給技工所,而技師收到後也不需要印模,直接讓電腦幾秒內模擬出客製化的 3D 齒雕,透過專門設計車削牙齒瓷塊的機器就能在短短的十幾分鐘內做出牙齒。
但缺點就是不便宜,畢竟 3D 齒雕的品質遠高於 20 多年前制定的健保治療品質。
1. 醫師修牙時間
對於一日齒雕,有時候也不是當場就能做的,有時候因為蛀牙蛀到牙齦底下,需要先確定蛀的深度,或蛀牙幾乎蛀到神經但又沒有痛感,必須先保護神經才能進行一日快速療程。
如果牙齒條件適合,那就可以進行一日齒雕,醫師開始修牙齒,依照蛀牙的大小,通常需要 15~30 分鐘把蛀牙挖掉。
當然不是把蛀牙挖掉就結束這一回合,與傳統齒雕不同,一日快速齒雕因為是加工機車削出來的,牙醫師需要確定牙齒修磨的形狀是符合加工機容許的角度,牙齒內緣細節的寬度也要符合切削鑽頭的限制。
這個步驟的時間很難省下來,甚至是為了要求細節,要花上比修傳統齒雕更久的時間來研磨牙齒的形狀。 這一步很要求醫師手指精細程度。
我臨床上會使用牙科專用的 5 倍放大鏡,配上高品質 LED 燈,這樣能更看清楚牙齒細節。
2. 印模時間
傳統印模
牙齒修磨完畢以後,接下來就是印模。大約也要 15~30 分鐘。
傳統印模有兩種材料,比較快速的 alginate 印模材料精密度只有到 50 μm ( 0.05 mm),性質也較軟,容易永久變形。另外一種 silicon 印模材料精密度比較好( 10~20 μm),但是材料要等 5 分鐘才會硬化。
硬化後取下檢查,有經驗的醫師能檢查模型是否變形,或其他問題。如果有任何模型的變形,或因為材料聚合發生問題,整個印模過程就要重來一次。有些問題可能要等模型送到技工所才會發現,因此整個流程都要重來一次。
數位印模
相對地以數位印模來說,診所的 3shape 口掃機速度非常快,只要兩三分鐘就能完成全口掃描,在齒雕的牙齒上切換高解析模式,細節上可以達到 30 μm 以內的精密度 。同時在電腦螢幕上可以檢查模型是否有問題,咬合高度是否足夠,邊緣是否清晰。如果要重新掃描也很快,花一兩分鐘就能解決。
口掃機精準度

有論文研究說 3shape 口掃機精準度可達 6.9 μm (十分之一根頭髮寬度),但我覺得可能沒有那麼高啦,但基本上精準度已經很不錯了。醫師在操控各家口掃機的時候也有不同的要求,有些口掃機要求要拿得很穩,有些則對晃動沒有太大影響,不過總體就是要了解最適合的掃描距離,還有最適合的掃描順序。
下圖是美國牙醫學會某篇論文,各家廠商口掃機的精準度比較,其實都是臨床可接受的。
3. 模型運送時間
傳統假牙
傳統的模型因為要貨運寄送的關係,通常最快隔天才會收到,如果有種種延遲,可能第三天才會收到模型,這樣來回一趟就可能要花 3~4 天。
一日假牙
數位口掃模只要網路沒問題,幾秒鐘內就可以傳送完成。技師可以馬上收到模型。高速網路的進步,讓這一塊省了很多時間。
4. 牙技師製作 齒雕 時間
傳統模型假牙製作
傳統的假牙,技師收到模型之後,灌石膏模和一些前置作業可能要兩三個小時以上。 之後雕蠟型,然後高溫鑄造金屬牙內冠,之後再外面燒瓷等等又要花好幾個小時。 然後拋光和確定咬合功能。
數位模型假牙製作
數位口掃的模型,電腦軟體可在幾秒鐘內模擬規劃出一顆牙齒,接下來幾分鐘的時間就是車削機把牙齒雕刻出來。 咬合功能都是電腦精密計算好的。邊緣的密合度也可以控制在 60 μm 以內。( 臨床上 100 μm 以內的密合度是可以接受的)。
由於科技進步,電腦製作出來的假牙基本上密合度都很不錯,速度也加快許多。
假牙密合度的重要性
剛剛強調密合度的原因是,超過 120 μm ( 0.12 mm) 的縫隙,會被視為邊緣不密合,容易造成蛀牙或牙齦發炎,而且以傳統假牙來說,裡面的傳統黏著劑也會被口水溶解,造成蛀牙或假牙脫落。
5. 臨床裝戴假牙時間
傳統假牙黏著
以傳統的單顆假牙而言,一般可能 15 分鐘內就可以完成黏著。
一日假牙黏著
但是 3D 齒雕的黏著步驟很複雜,需要隔絕口水,先對牙齒和瓷塊表面處理,再一層一層塗上黏著劑,最後照光聚合。 這部分處理時間可能是 30~60 分鐘。 這部分的缺點是很花時間,但優點是黏著強度超級強,幾乎不可能掉下來。 樹脂黏著劑也不像傳統黏膠會被口水溶解,相對耐用度就非常高。
傳統假牙與一日假牙的材料強度差異
傳統假牙強度
傳統的假牙,內部是金屬,外部是一層陶瓷,因為兩者介面鍵結力大約只有 80 MPa,所以有時會發現「假牙破掉了」。
一日假牙強度
而一日假牙的優點在於使用的 IPS e.max CAD 玻璃陶瓷抗斷裂強度很高,達到 530 MPa ,當然市面上有全鋯牙冠,抗斷裂強度 1200 MPa ,但自然牙齒的琺瑯質也才 230 MPa , 所以一般來說已經夠用了。
傳統全瓷冠與一日假牙全瓷冠差異
另外一提,雖然假牙材料強度很高,但只要假牙中有孔隙或氣泡,那就會大幅降低該處抗斷裂強度,那邊就會是一個弱點。
傳統全陶瓷是「鑄造」出來的,在灌注模型的時候難免有些孔隙或氣泡;而一日假牙是用一整塊均質的高品質瓷塊切割出來的,而這製程的差異也是兩者耐用度最大的差異。
臨時假牙的毒性
傳統臨時假牙
以傳統的臨時假牙來說,如果是醫師直接在病人口內製作的臨時假牙,那原料的高濃度塑化劑液體及壓克力粉末就會直接接觸到病人口腔。 如果是技師先做好一個臨時假牙,那臨床上塑化劑的用量就會更少一些。但其實我本身是不會用這種臨時假牙材料,因為我自己就對這材料過敏。
這類型的材料都很刺激呼吸道和眼睛和皮膚,如果呼吸道敏感的人不小心聞到的話可能就會過敏、氣喘、呼吸困難等等。所以這是有毒的東西不能吸到的,也不能碰到皮膚,但臨床上要做臨時假牙就經常會讓材料接觸到病人的口腔,粉末有時也會在修整臨時假牙的時候四處飛散。 總之是個舊時代產物,現在我都不用了。(有毒,但還是有衛署字號喔~)
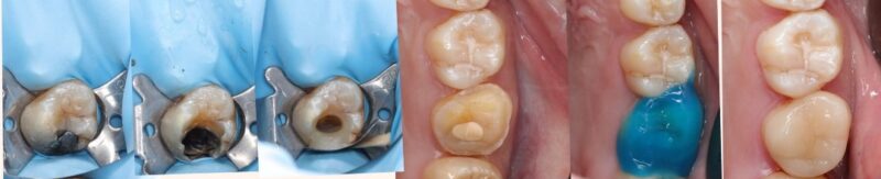
一日假牙不需要臨時假牙
反之,因為一日齒雕很快就好了,不太需要什麼臨時假牙。 基本上放個暫時性的材料就好,如下圖,藍色的我們稱為 QQ ,是個有點彈性的樹脂,雖然 QQ 屬於樹脂類的材料,嚴格來說多少有些微量毒性,但毒性程度跟上面恐怖的傳統臨時假牙原料差太多了,因此這種方式相對安全又快速,而且幾個小時後就可以裝上 3D 齒雕。

齒雕 :一日假牙總結
說了那麼多一日假牙的好處,那總有一些缺點吧~ 沒錯,一日假牙實際上還比不上神級技師程度,細節的堆築和邊緣的密合度其實還是神級技師手做的最厲害。
3D 齒雕聽起來好像是很新的概念,但其實在國外已經發展了 30 年以上,近年由於電腦的發展,口掃機功能變得更強大,電腦速度也更快,加工機車削出來的牙齒邊緣也越來越密合,咬合面型態也慢慢脫離饅頭了。
一日假牙的學習曲線算是偏難,非常地耗腦力與精神,但在整個團隊,醫師與技師互相 debug 以後,臨床上的結果都還算令人滿意,同時滿足了品質跟速度~
<p>新竹品味牙醫 Prevail Dental Care</p>
黃文龍 醫師
學經歷|
中山醫學大學牙醫學士
中山醫學大學牙醫學士
中山醫學大學附設醫院牙科醫師
中華植體美學醫學會醫師
中華民國植牙醫學會醫師
*本站文章內容及圖片均受中華民國著作權法及相關法令保護,非經品味牙醫診所及作者同意前不得轉載、重製、散佈、改作、轉貼、播送或作為背書等行為,以免觸法。引用句子請附上原文標題、作者及原文網址。如需轉載請來信洽談。
※ 聲明:文章為醫師經驗談,每人口腔情形不盡相同,如有不適即早就醫檢查才是正解 ※






