案例|前牙美學

Case

真實的治療故事,呈現病人從困擾到改變的成果。
讓您從案例中,看見專業帶來的信任與笑容。

植牙

范姜郁欣 醫師

 

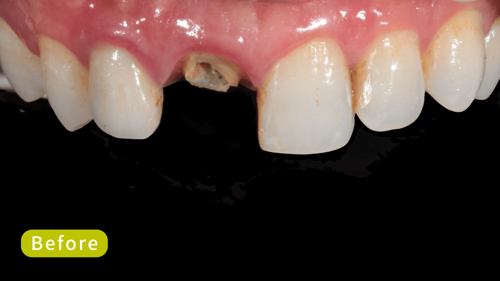
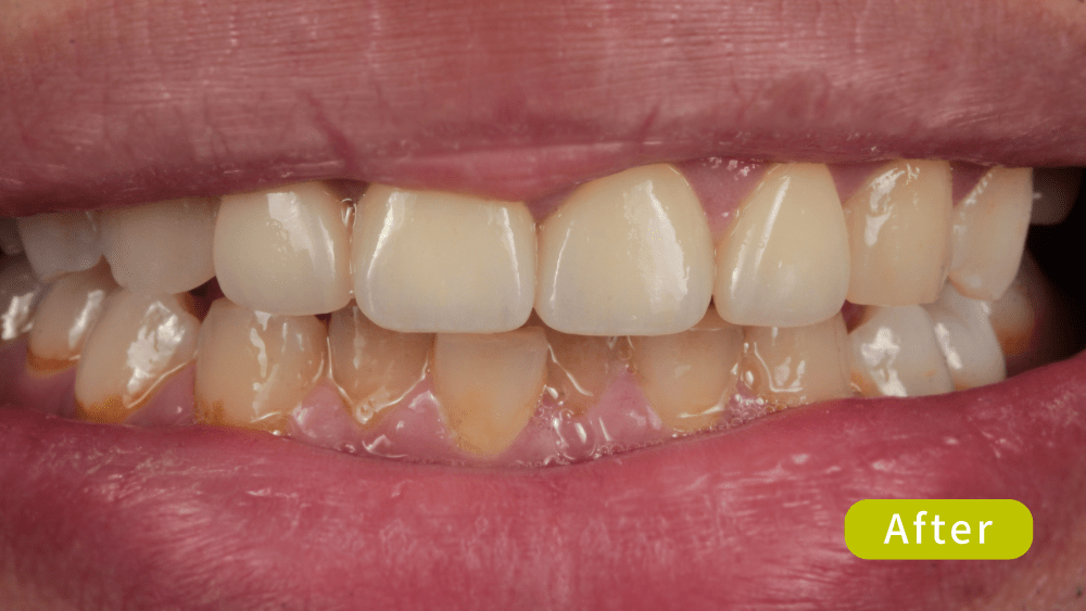
前牙植牙+全瓷冠

范姜郁欣 醫師

 

矯正+牙冠增長術+全瓷冠

范姜郁欣 醫師

 

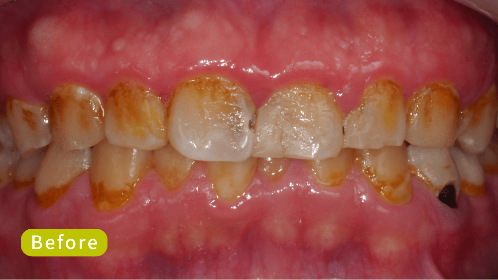
水雷射牙周治療+前牙全瓷冠+美白

范姜郁欣 醫師

 

全瓷冠+植牙全口重建

郭彥君 醫師

 

聯絡品味

CONTACT US

品味牙醫團隊將以專業與用心,提供最合適的治療。