案例|數位植牙

Case

真實的治療故事,呈現病人從困擾到改變的成果。
讓您從案例中,看見專業帶來的信任與笑容。

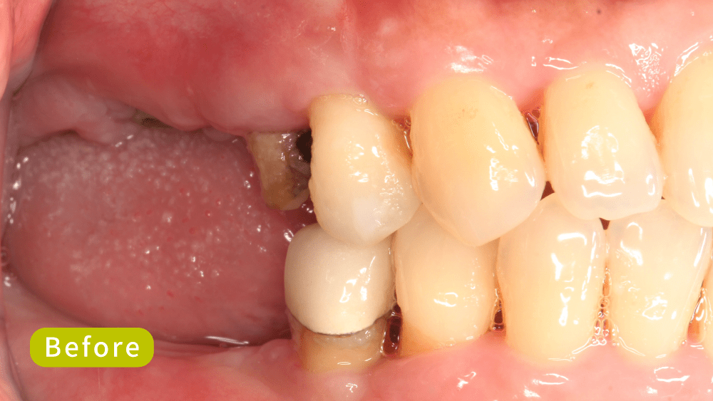
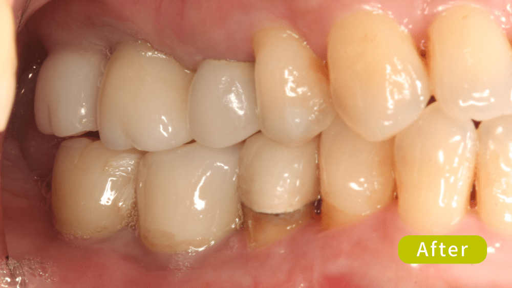
後牙植牙

陳泰龍 手術醫師

 

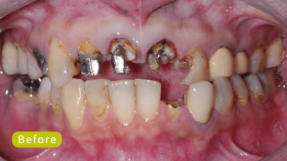
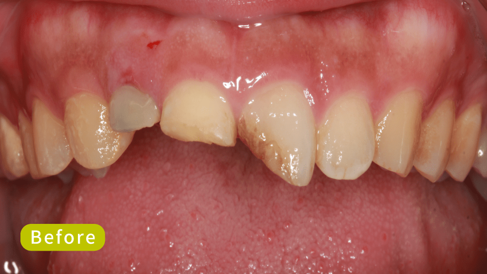
前牙即拔即植

陳泰龍 手術醫師

 

前牙植牙

陳泰龍 手術醫師

 

植牙

范姜郁欣 假牙醫師

 

前牙植牙+全瓷冠

范姜郁欣 假牙醫師

 

前牙植牙+全瓷冠

范姜郁欣 假牙醫師

 

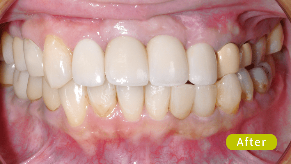
數位植牙案例

陳泰龍 手術醫師

 

數位植牙案例2

陳泰龍 手術醫師

 

聯絡品味

CONTACT US

品味牙醫團隊將以專業與用心,提供最合適的治療。