案例|牙齒矯正

Case

真實的治療故事,呈現病人從困擾到改變的成果。
讓您從案例中,看見專業帶來的信任與笑容。

隱形矯正

蔡騏駿 醫師/隱形矯正案例

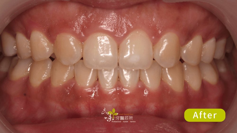
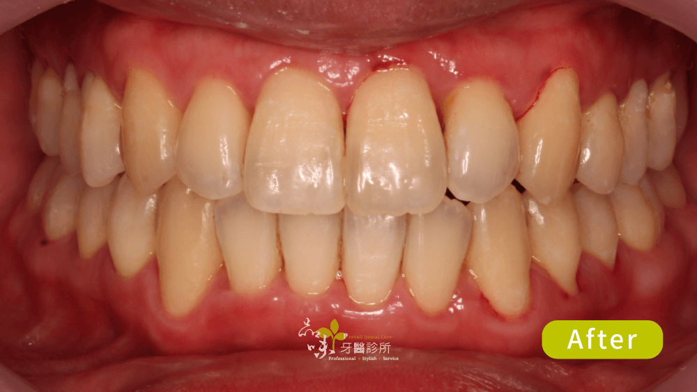
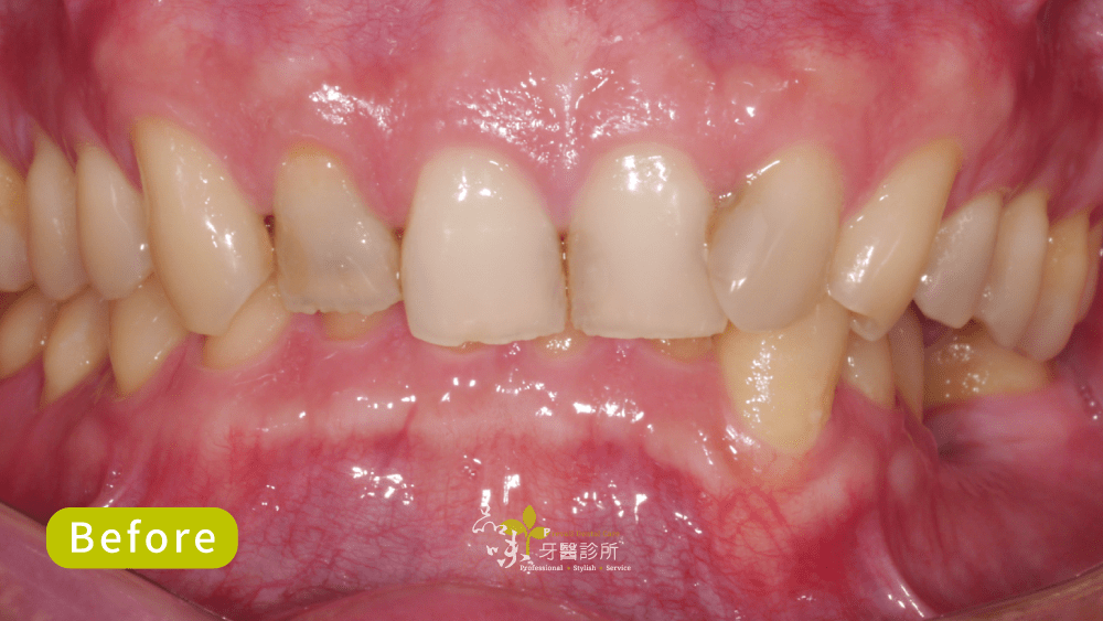
複雜矯正

蔡佳君 醫師/戴蒙(陶瓷)矯正案例

隱形矯正

蔡騏駿 醫師/隱形矯正案例

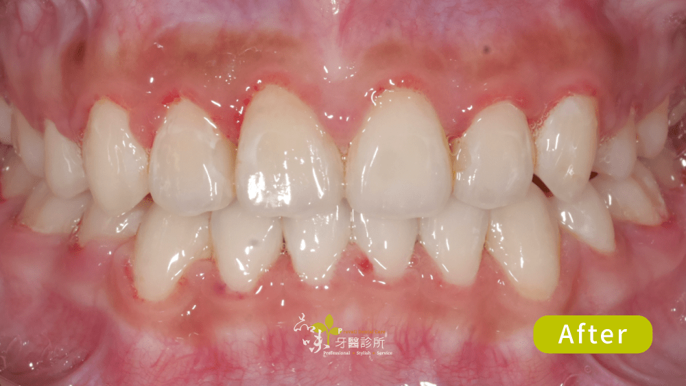
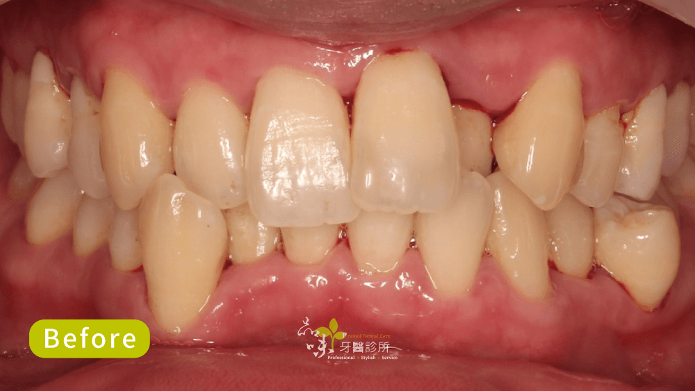
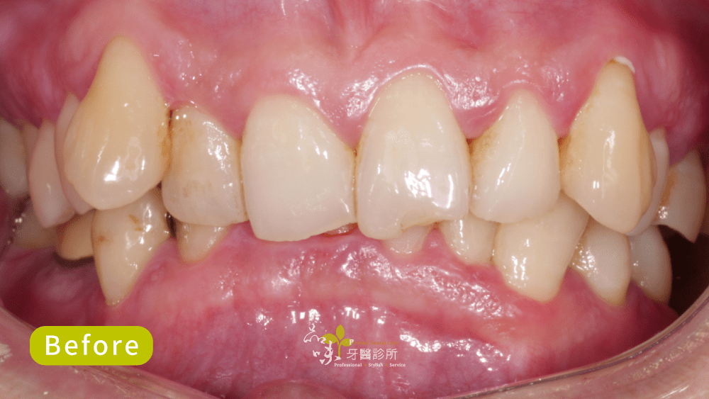
錯咬關縫

蔡佳君 醫師/戴蒙(陶瓷)矯正案例

隱形矯正

蔡騏駿 醫師/隱形矯正案例

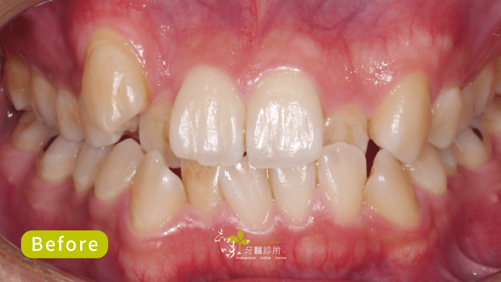
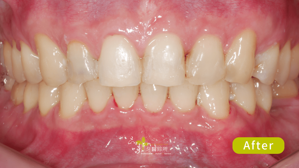
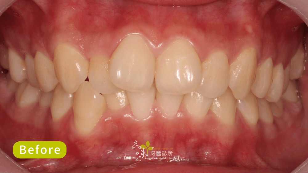
複雜矯正

蔡佳君 醫師/戴蒙(陶瓷)矯正案例

隱形矯正

蔡騏駿 醫師/隱形矯正案例

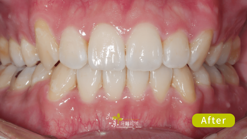
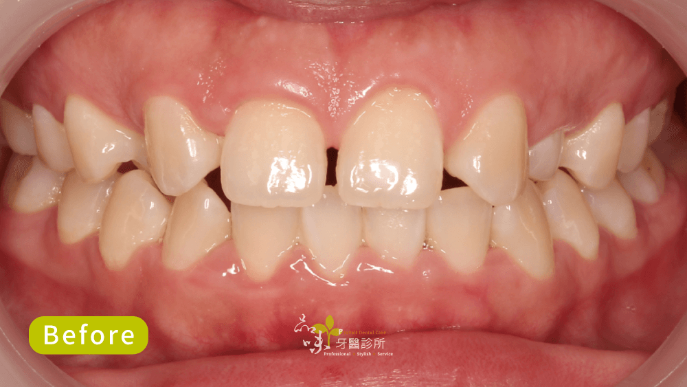
深咬矯正

蔡佳君 醫師/戴蒙(陶瓷)矯正案例

錯咬矯正

蔡佳君 醫師/戴蒙(陶瓷)矯正案例

複雜矯正

蔡佳君 醫師/戴蒙(陶瓷)矯正案例

聯絡品味

CONTACT US

品味牙醫團隊將以專業與用心,提供最合適的治療。