案例|牙齒美白

Case

真實的治療故事,呈現病人從困擾到改變的成果。
讓您從案例中,看見專業帶來的信任與笑容。

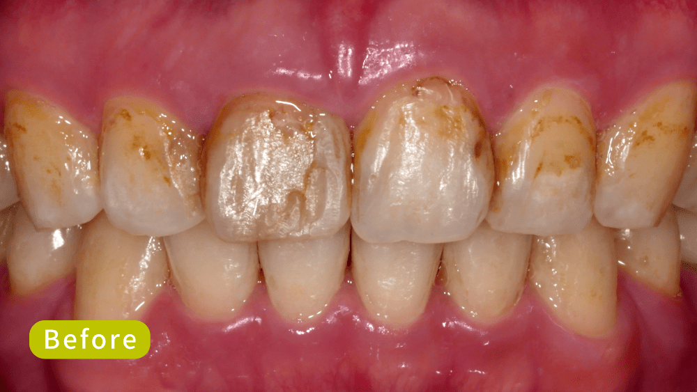
噴砂美白

楊雅竹 醫師

 

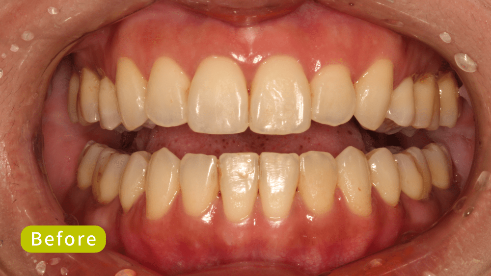
噴砂美白

楊雅竹 醫師

 

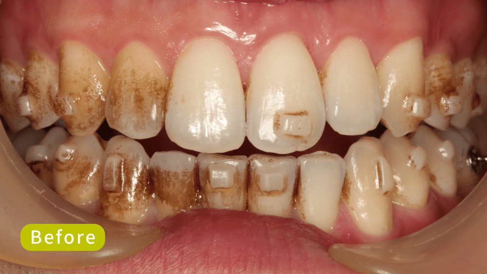
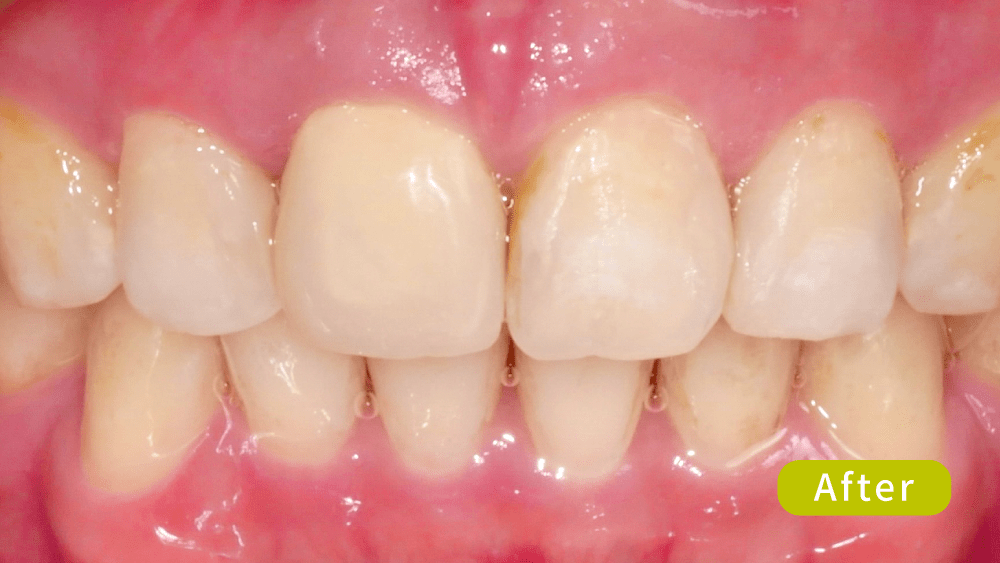
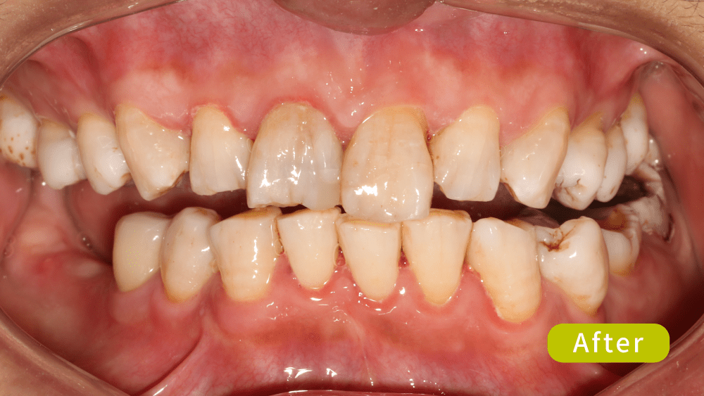
噴砂美白+補牙

楊雅竹 醫師

 

噴砂美白+補牙

楊雅竹 醫師

 

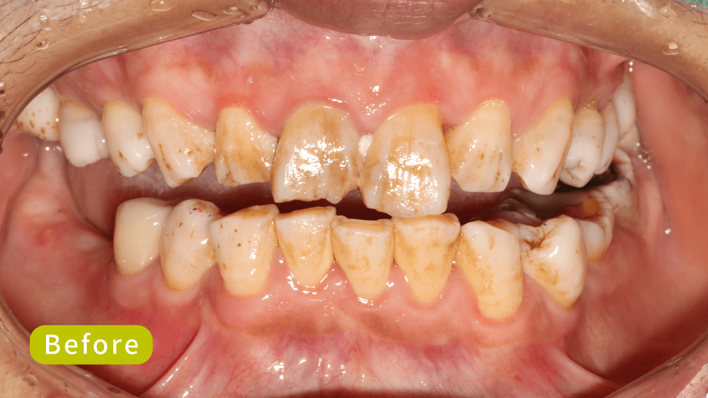
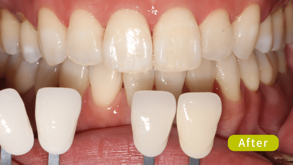
美白案例

范姜郁欣 醫師

 

聯絡品味

CONTACT US

品味牙醫團隊將以專業與用心,提供最合適的治療。