牙齒美白

Teeth-Whitening

牙齒美白

專業美容牙科醫師看診,針對你的需求及齒色提供適合的治療方式,術前、術後比色,並拍照紀錄你的色階,治療前也會檢查口腔狀況,給你一套兼具安全、舒適的美白療程。

▶︎︎冷光美白 $ 19,999◀︎
▶︎︎ 居家美白 $ 9,999 ◀︎

為什麼牙齒會變黃?變黃兩大因素介紹

牙齒為什麼會黃黃的呢?多數人都是因為經年累月的食物和飲料色素沈積,牙齒慢慢變黃的。 由於速度是很緩慢的,所以平常可能自己也看不出來到底有沒有牙齒黃。除了食物染色,抽菸、吃檳榔、服用藥物(如四環黴素)、牙齒受傷(如根管、撞傷),甚至是老化都有可能讓牙齒顏色改變。

大多數人都是在進行了牙齒美白療程之後,治療前治療後一對比才驚呼:『天吶!我以前牙齒怎麼這麼黃!』

內因性

內因性染色是指齒值本身的顏色改變,與外界環境並無相關而是牙齒自身變化所造成。可能是因為疾病、天生生理因素、藥物抗生素、牙齒受到傷害所導致。

如:天生牙齒黃、藥物染色、氟斑齒、牙齒受傷或根管造成牙齒變色等,只能透過化學性美白方式幫助牙齒提升亮白色階。

外因性

大多原因是跟飲食和生活習慣有關,因為常食用顏色深的食物及飲料,造成色素堆積,導致牙齒表面接觸到色素使顏色改變。(如:長期喝茶咖啡、吸菸,嚼檳榔,清潔習慣不佳,常吃深色食物等)

透過物理性美白方式可以可以帶走牙齒表面的色素,恢復牙齒原色。

各種美白方式表格比較

冷光美白居家美白噴砂美白陶瓷貼片齒內美白
所需時間1~2小時2~3週即有效果,平均療程1~2月單次依據需求約2~4次邊回診邊調整齒色,約一~兩個月
改善程度很好只能恢復原來齒色非常好只能針對單顆牙齒進行
適合狀況短時間要提升多個色階時間充裕,牙齒顏色普通黃因為外因性染色的牙齒想美白又想調整外觀根管治療過的牙齒
持久程度(口腔習慣良好的前提下)1~3年1~3年需改善飲食習慣10~15年
優點所需時間短,效果顯著在家使用價格最低,但是只能恢復齒色無法提升不易染色,還可調整外觀專門治療根管過的牙齒
費用★★★★★((單顆計價))單顆計價

牙齒美白方案

1

冷光美白

適合:近期有牙齒美白需求或者期望療程效率較高的人,如拍婚紗、出席重要場合等等。

冷光美白是使用牙齒專用美白藥劑帶出牙齒裡面沉積的色素,在牙醫師專業操作下使用牙齦保護劑,並搭配藍光照射加速藥劑反應速率,並且在一小時內進行大約三個循環,每一個循環都可以看到牙齒變白的變化。療程約 2 個小時,過程前、中、後,我們都會為您做牙齒比色,並拍照記錄。

冷光美白並不會疼痛,但術中及術後會有暫時性牙齒敏感現象,屬正常範圍。結束療程後,一個月內盡量避免食用咖啡、茶、可樂等染色性較高的飲料或食品,可以讓美白效果保養得更持久。
費用:★★

優點

  • 美白快速:冷光美白一小時≈居家美白一個月。
  • 改善快速,可提升多個色階。
  • 有專業醫師及嚴謹流程,保障安全及效果。
  • 適合出席重要場合前快速美白。

冷光美白過程

牙齒美白安全嗎?

 
品味牙醫選用「WHITEsmile」合格美白藥劑

WHITEsmile 由德國牙材大廠西門子 SIRONA 於 1994 年創立,現為世界領導美白品牌。居家、冷光美白藥劑溫和不刺激,通過台灣衛部粧輸字第 023954 號、衛部粧輸字第 025424 號,保障使用安全。

冷光美白流程說明

Step 01

美白前口腔檢查

健康優先,檢查口內是否有蛀牙或其他問題,建議先處理後再做美白

Step 02

記錄口腔資訊

術前 / 中 / 後比對、記錄牙齒的顏色並照相存檔

Step 03

塗上牙齦保護劑

隔離美白藥劑,避免接觸牙齦導致發炎等問題

Step 04

戴上護目鏡

保護眼睛在治療中不受冷光刺激署手術同意書、提前口腔印模。

Step 05

塗美白藥劑&照射冷光

正式進行治療,視每人口腔狀況重複約 2~3 個循環

Step 06

定期回診追蹤

檢視紀錄美白成效

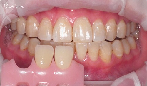
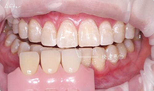
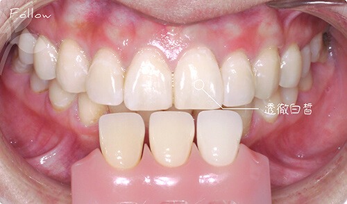
案例提供:郭彥君 醫師

術前:拍照比色

術後:冷光美白在短時間內提高亮白色階

追蹤:搭配居家美白,讓白皙更加透徹

2

居家美白

適合:自然齒列,在家夜間睡眠時美白
不適合:假牙、四環黴素染色、嚴重氟斑牙及根管治療後的牙齒。
費用:
優點

  • 價格較冷光美白稍低
  • 操作方便,可以在家進行

居家美白是一種活性牙齒漂白,經由牙醫師專業評估及指導下,將藥劑擠入美白牙托並在家中睡覺時配戴,讓牙齒慢慢變白。

在第一次的療程中,我們會先為您做評估並幫您取牙齒的模型,做出屬於您自己獨一無二的專屬美白牙托。而下一次的療程就會教您如何使用我們的居家美白。

一般情況下,於夜晚睡眠時配戴,2~3 個禮拜就會有顯著的效果,平均療程為 1~2 個月。療程剛開始時,牙齒會有冷熱敏感的情形,請放心,幾天後就會恢復;療程期間應避免食用含色素的食物,飲品可使用吸管,飲用後盡快漱口,減少色素附著時間。

冷光美白分享

居家美白分享

3

陶瓷貼片

適合:想同時改善牙齒顏色與形狀,輕微的牙齒邊緣斷裂、牙縫過大、輕微的齒列不正及四環黴素染色的人
不適合:暴牙、夜間磨牙嚴重、蛀牙嚴重的人
費用:★★★(單顆計價)
優點

  • 可同時改善牙齒顏色與形狀
  • 維持效果長且不易染色

陶瓷貼片又稱全瓷貼片、美白貼片、美容貼片。就是藉由牙醫師修磨牙齒表面微量(0.2~0.5mm )的齒質,並用專業材料貼上牙齒表面以確保貼片僅僅貼合在牙齒上。一般使用在前牙區較多,材質是由陶瓷製成,其外觀可以做到跟真的牙齒一樣自然,但是強度比自然牙還要高。不僅可以迅速恢復牙齒亮白,還可以用來修復微微缺損、輕微蛀牙的部位,更可以藉由陶瓷貼片來調整牙齒的齒列形狀,是牙齒美白少數既可以美白牙齒又可以調整牙齒形狀的一種方式。

 

4

噴砂美白

適合:牙齒有茶、咖啡、菸垢困擾的情形。
不適合:牙齒因蛀牙、藥物等非表面色素累積的牙齒。
優點

  • 速度快
  • 價格低
  • 安全性高

噴砂美白是利用小蘇打粉配合水柱,以物理的方式帶走牙齒表面上的沈積物與色素,因此只能恢復牙齒乾淨的表面,並不能將牙齒變白喔!原理與洗牙有點相似,但是噴砂在美白的效果更有明顯,且過程中也不須擔心傷害到牙周組織。過程中依據個人嚴重程度不同,平均約 30 分鐘,且安全性高。而維持期,主要還是依據個人的口腔衛生及飲食等習慣而定,可定期重複施作。 但在噴砂美白前建議與牙醫師確認牙齒變色的原因為何喔!噴砂美白只對清除牙齒表面的色素累積有效,若是為蛀牙、藥物等原因做噴砂美白是無效的喔!

噴砂美白費用

品味噴砂美白費用為 2000~6000 元,依美白的範圍有不同的價格。

常見問題

牙齒美白會傷害牙齒嗎?

冷光美白藥劑完全不會傷害牙齒珐瑯質,但牙齒美白療程會伴有一小段時間牙齒「暫時性」變得較為敏感狀況,可以跟你的牙醫師諮詢評估牙齒狀況是否適合冷光美白,以及效果能否接近你心中的期待。

蛀牙、牙周病、牙齒敏感、或孕婦可以做冷光美白嗎?

蛀牙以及牙周病的狀況建議先將治療完成,就可以進行冷光美白。 原先牙齒就非常敏感的人可能不太建議進行冷光美白, 因為過程中若牙齒酸痛加劇, 會很不舒服。 孕婦則是在孕期中不建議進行美白療程。。

品味牙醫牙齒美白相關影片&文章

好文分享

影片

你是哪種黃牙呢?做牙齒美白前必須先搞懂「這些事」!Feat.郭彥君醫師

為何我選擇診所牙齒美白?居家美白心得分享|牙科分享 Ft.陳小姐&范姜郁欣醫師(前牙美學)

【品味牙醫 X ㄚ綾綾單眼皮大眼睛】牙齒冷光美白體驗!超快速、超方便!

這支影片有夠酸!牙齒美白後有痠軟現象是正常的嗎?|郭彥君醫師|牙科Q&A

夏天又要忙著美白了~冷光美白 vs. 居家美白到底哪個好咧?|郭彥君醫師|牙科Q&A

你是哪種黃牙呢?做牙齒美白前必須先搞懂「這些事」!Feat.郭彥君醫師

為何我選擇診所牙齒美白?居家美白心得分享|牙科分享 Ft.陳小姐&范姜郁欣醫師(前牙美學)

【品味牙醫 X ㄚ綾綾單眼皮大眼睛】牙齒冷光美白體驗!超快速、超方便!

這支影片有夠酸!牙齒美白後有痠軟現象是正常的嗎?|郭彥君醫師|牙科Q&A

夏天又要忙著美白了~冷光美白 vs. 居家美白到底哪個好咧?|郭彥君醫師|牙科Q&A

更多影片

新竹牙齒美白診所推薦|品味牙醫,陪你品味人生

X-Guide

數位導航系統

 

數位導航植牙手術為目前相當精準、安全的植牙方式,全台少有牙科診所配備。

利用 GPS 般的光學動態追蹤功能,警示安全範圍,即時修正,避免傷害重要部位。

3shape

口內數位掃描機

 

透過雷射光快速掃描牙齒,結合投影機和照相器材功能,運用在口腔掃描,快速取得牙齒影像。再應用軟體建立牙齒模型,提供醫師做模擬、修復,將檔案上傳雲端到牙體製作中心而進行製作。

Biolase WATERLASE MDX 高階水雷射儀器

 

水雷射結合水與雷射能量,能精準處理牙齒與牙周組織,並具殺菌與促進恢復效果。品味牙醫採用表淺型 Er,Cr:YSGG 水雷射,避免熱能傷害,治療更安全舒適。

3D 電腦斷層CT系統

 


KaVo OP 3D Pro 的輻射安全提升,電子偵測每人適合的輻射劑量,以減少人為疏失,並限縮拍攝範圍,減少不必要的輻射接觸。高清細節,協助醫師診斷更精確,影像分析功能讓植牙、矯正計畫更臻完善。

德國萊卡牙科顯微鏡

 

德國萊卡牙科專用顯微鏡,具備專利光學與LED照明,能清晰放大牙齒細節,協助醫師精準診斷與治療。內建 Full HD 影像系統,深窄處也無死角,讓醫療更精細、安全,提升術後成果。

德國精密冷光美白機

 

WHITEsmile 結合最新 LED 藍紅光技術與專業美白凝膠,只需短時間即可達到明顯美白效果。由牙醫專業監督操作,能有效改善外在染色,效果約可維持 6 個月至 1 年,讓笑容更自信亮白。

X-Guide 數位導航系統

 

數位導航植牙手術為目前相當精準、安全的植牙方式,全台少有牙科診所配備。

利用 GPS 般的光學動態追蹤功能,警示安全範圍,即時修正,避免傷害重要部位。

3shape 口內數位掃描機

 

透過雷射光快速掃描牙齒,結合投影機和照相器材功能,運用在口腔掃描,快速取得牙齒影像。再應用軟體建立牙齒模型,提供醫師做模擬、修復,將檔案上傳雲端到牙體製作中心而進行製作。

Biolase WATERLASE MDX 高階水雷射儀器

 

水雷射結合水與雷射能量,能精準處理牙齒與牙周組織,並具殺菌與促進恢復效果。品味牙醫採用表淺型 Er,Cr:YSGG 水雷射,避免熱能傷害,治療更安全舒適。

3D 電腦斷層 CT系統

 


KaVo OP 3D Pro 的輻射安全提升,電子偵測每人適合的輻射劑量,以減少人為疏失,並限縮拍攝範圍,減少不必要的輻射接觸。高清細節,協助醫師診斷更精確,影像分析功能讓植牙、矯正計畫更臻完善。

德國萊卡牙科顯微鏡

 

德國萊卡牙科專用顯微鏡,具備專利光學與LED照明,能清晰放大牙齒細節,協助醫師精準診斷與治療。內建 Full HD 影像系統,深窄處也無死角,讓醫療更精細、安全,提升術後成果。

德國精密冷光美白機

 

WHITEsmile 結合最新 LED 藍紅光技術與專業美白凝膠,只需短時間即可達到明顯美白效果。由牙醫專業監督操作,能有效改善外在染色,效果約可維持 6 個月至 1 年,讓笑容更自信亮白。

※聲明:本所療程皆由專業醫生評估後,依照個人口腔狀況進行治療。 因每位患者個別狀況不同,術後狀況也不盡相同,需親來本所由醫生評估。※

聯絡品味

CONTACT US

品味牙醫團隊將以專業與用心,提供最合適的治療。