案例|贋復假牙

Case

真實的治療故事,呈現病人從困擾到改變的成果。
讓您從案例中,看見專業帶來的信任與笑容。

前牙植牙+全瓷冠

范姜郁欣 醫師

 

矯正+牙冠增長術+全瓷冠

范姜郁欣 醫師

 

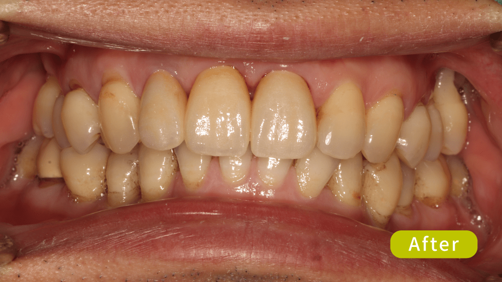
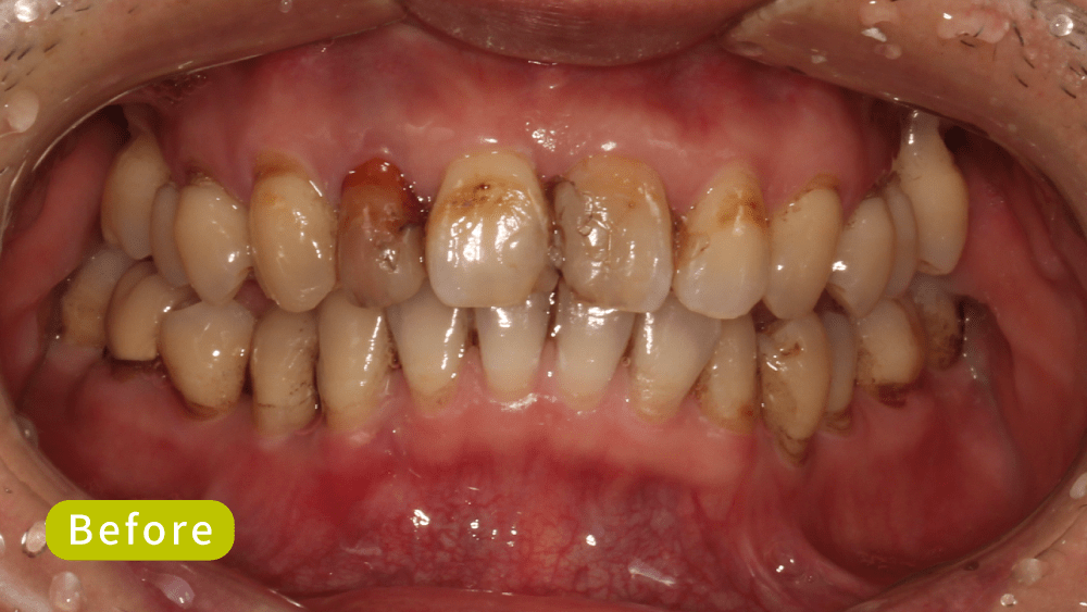
水雷射牙周治療+前牙全瓷冠+美白

范姜郁欣 醫師

 

水雷射牙周治療+前牙全瓷冠+美白

范姜郁欣 醫師

 

前牙全瓷冠牙套案例

楊雅竹 醫師

 

 

聯絡品味

CONTACT US

品味牙醫團隊將以專業與用心,提供最合適的治療。