撰文/新竹品味牙醫
小朋友的乳臼齒,咬合面寬寬大大的,上面有深深的溝隙,幫助咀嚼並且研磨食物,因此接觸到食物的時間是很長的。
一旦乳臼齒蛀牙了卻沒有及時處理,蛀牙的深度和疼痛是會急劇增加的,同時也影響到小朋友的咀嚼能力。
小朋友後面的乳臼齒蛀牙了,該怎麼辦?
現代我們身處於充斥餅乾、糖果、冰淇淋、手搖飲等零食的環境,小朋友喜歡吃甜食,加上刷牙不確實,回牙醫診所定檢時就發現後方乳臼齒先蛀掉了!面對小朋友的乳臼齒蛀牙,牙醫師是如何判斷小朋友的蛀牙程度並且選擇正確的治療呢?

我們可以將蛀牙等級大致分為輕度、中度、深度,醫師看診時會先了解小朋友的蛀牙大概屬於哪種等級,再依據不同的症狀評估治療方針。

一、輕度蛀牙
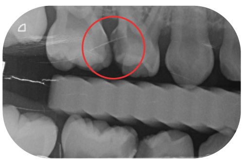
局限於珐瑯質(牙釉質)的 乳臼齒蛀牙
如果經拍攝 X 光片判斷後,發現小朋友 乳臼齒蛀牙 的範圍僅局限於牙齒的珐瑯質(牙釉質)上,此時如果清潔乾淨搭配定期塗氟,有機會使牙齒再礦化,讓原本蛀牙的地方有機會復原。
通常建議每三個月定期到診所,由牙醫師進行專業潔牙並搭配塗氟即可。

二、中度蛀牙
蛀牙已經蔓延至象牙質(牙本質)的 乳臼齒蛀牙
通常這一類型的 乳臼齒蛀牙 會有許多不同的情形,大致可分為口內檢查直接可看到的表面蛀牙,以及藉由 X 光片發現的牙齒鄰接面蛀牙,此時牙齒就需要進一步治療。
治療方式由蛀牙的深度決定,從一般的補牙、搭配活髓保存術或以不鏽鋼牙套保護,避免太脆弱的牙齒斷裂、二度蛀牙等等,端看臨床上牙醫師的評估。

三、深度蛀牙
乳臼齒蛀牙已經非常靠近或已經碰到牙髓神經了
當蛀牙範圍已延伸到牙髓神經附近,此時小朋友常伴隨疼痛的症狀,必須先評估該顆牙剩餘齒質多寡、是否足夠支撐日後咀嚼功能?
如果可以,則進行牙髓切除術(俗稱的「抽神經」、「根管治療」)並搭配不鏽鋼牙套。
若牙齒剩餘結構已寥寥無幾,則牙醫師可能會考慮將其拔除,並搭配空間維持器(空間重獲器),以防止乳牙拔掉後的空間被其他牙齒佔據,導致日後恆牙無法順利萌發,造成齒列擁擠或阻生齒等後續衍伸問題。


四、常見的牙齒修復材料有:
1.樹脂(Composite resin):
耐用且美觀,只要在補牙過程中控制好口水,使牙齒保持乾燥,是十分穩定的。
2.玻璃離子體(Glass ionomer):
算是一種藥物性治療的方式,這種材料會隨著時間釋放氟離子,且在補牙材料等待硬化的過程中收縮量最少。(補充:氟化物可幫助預防齲齒)
以上兩者只要處理得好,都能在牙齒和填補材料之間產生很好的密封性,不易讓口水和細菌滲入。
3.樹脂加強型玻璃離子體(Resin-modified glass ionomer):
同時具有上述兩種材料的特性。
4.不鏽鋼牙套(Stainless steel crown):
主要用於大範圍缺損的乳臼齒,作用是包覆住整顆乳牙,以防止等待換牙期間乳牙斷裂,造成日後恆牙排列凌亂擁擠,又要花時間矯正牙齒。
五、結語:小朋友定期檢查的重要性
一旦小朋友蛀牙了,若不及時處理,放著不管,伴隨細菌越蛀越深及小朋友疼痛度增加,治療的方式也會偏向侵入性治療(例如抽神經)。
因此,早期治療勝於晚期治療,而預防更勝於治療!
定期帶孩子到牙醫診所檢查,是維持孩子口腔衛生健康的最好選擇。
相關連結
<p>新竹品味牙醫 Prevail Dental Care</p>
新竹 品味牙醫診所
本文內容由新竹品味牙醫診所牙醫師撰寫並親自審核,確保醫療知識內容專業度與正確性。
*本站文章內容及圖片均受中華民國著作權法及相關法令保護,非經品味牙醫診所及作者同意前不得轉載、重製、散佈、改作、轉貼、播送或作為背書等行為,以免觸法。引用句子請附上原文標題、作者及原文網址。如需轉載請來信洽談。
※ 聲明:文章為醫師經驗談,每人口腔情形不盡相同,如有不適即早就醫檢查才是正解 ※

