郭彥君 醫師

Kuo, Yen-Chun

家庭牙科

  • 國立陽明大學牙醫學士
  • 台北榮總牙科部醫師
  • 林口長庚牙科部住院醫師

臨床案例

Cases

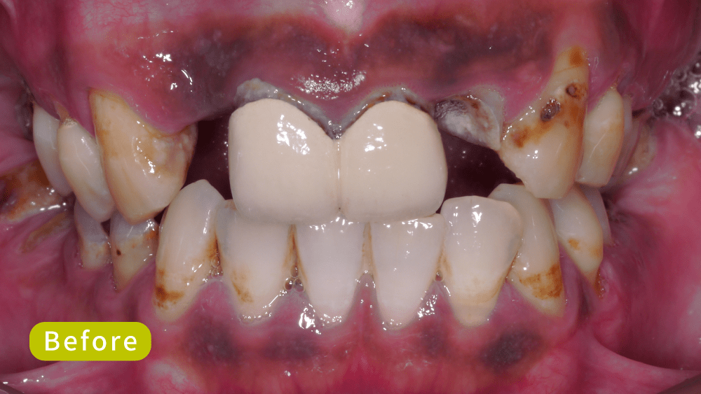
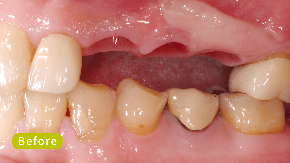
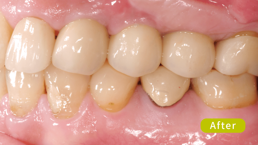
三顆植牙

上下顎 All-on-4

上顎 All-on-4

全瓷冠+植牙全口重建

醫師文章

Article

知識影片

Knowledge Videos

你是哪種黃牙呢?做牙齒美白前必須先搞懂「這些事」!Feat.郭彥君醫師

牙醫師的牙周治療好夥伴✨水雷射✨ Feat.郭彥君醫師

All-on-4 全口重建清潔指南!用什麼清潔工具?怎麼清?跟自然牙差在哪?不好好清潔會發生什麼情況?Feat. 郭彥君醫師

全口重建必看!All-on-4假牙材質有哪些?有什麼不同?有沒有CP值高的選項呢?feat.郭彥君醫師

你所不知道的療程背後二三事?!All-on-4一日全口重建 | 下集 | Ft.蔡先生&郭彥君醫師 | 特別邀請 蔡太太

是什麼療程讓他直呼年輕了不只10歲?!All-on-4一日全口重建 | 上集 | Ft.蔡先生&郭彥君醫師

根管治療一定要做假牙嗎?不做會怎樣?假牙材質怎麼挑?【假牙特輯】EP2|牙科Q&A|郭彥君醫師

「假牙醫師幫幫我~」專業分科!假牙醫師都在做些什麼呢?【假牙特輯】EP1|牙科Q&A|郭彥君醫師

這支影片有夠酸!牙齒美白後有痠軟現象是正常的嗎?|郭彥君醫師|牙科Q&A

夏天又要忙著美白了~冷光美白 vs. 居家美白到底哪個好咧?|郭彥君醫師|牙科Q&A

補牙不用樹脂跟銀粉?!微創齒雕可以對牙齒更好|郭彥君醫師|牙科小教室-牙醫師回答你的問題01

你是哪種黃牙呢?做牙齒美白前必須先搞懂「這些事」!Feat.郭彥君醫師

牙醫師的牙周治療好夥伴✨水雷射✨ Feat.郭彥君醫師

All-on-4 全口重建清潔指南!用什麼清潔工具?怎麼清?跟自然牙差在哪?不好好清潔會發生什麼情況?Feat. 郭彥君醫師

全口重建必看!All-on-4假牙材質有哪些?有什麼不同?有沒有CP值高的選項呢?feat.郭彥君醫師

你所不知道的療程背後二三事?!All-on-4一日全口重建 | 下集 | Ft.蔡先生&郭彥君醫師 | 特別邀請 蔡太太

是什麼療程讓他直呼年輕了不只10歲?!All-on-4一日全口重建 | 上集 | Ft.蔡先生&郭彥君醫師

根管治療一定要做假牙嗎?不做會怎樣?假牙材質怎麼挑?【假牙特輯】EP2|牙科Q&A|郭彥君醫師

「假牙醫師幫幫我~」專業分科!假牙醫師都在做些什麼呢?【假牙特輯】EP1|牙科Q&A|郭彥君醫師

這支影片有夠酸!牙齒美白後有痠軟現象是正常的嗎?|郭彥君醫師|牙科Q&A

夏天又要忙著美白了~冷光美白 vs. 居家美白到底哪個好咧?|郭彥君醫師|牙科Q&A

補牙不用樹脂跟銀粉?!微創齒雕可以對牙齒更好|郭彥君醫師|牙科小教室-牙醫師回答你的問題01

更多影片

聯絡品味

CONTACT US

品味牙醫團隊將以專業與用心,提供最合適的治療。