黃頌恩 醫師

Sung-En Huang

牙周病專科

  • 牙周治療
  • 人工植牙
  • 衛福部部定牙周病科專科醫師
  • 中山醫學大學牙醫學士
  • 美國印第安納大學牙醫學碩士
  • 美國牙周病專科醫師
  • 美國印第安納大學牙周病暨植牙專科訓練
  • 前高雄榮民總醫院牙科部醫師

臨床案例

Cases

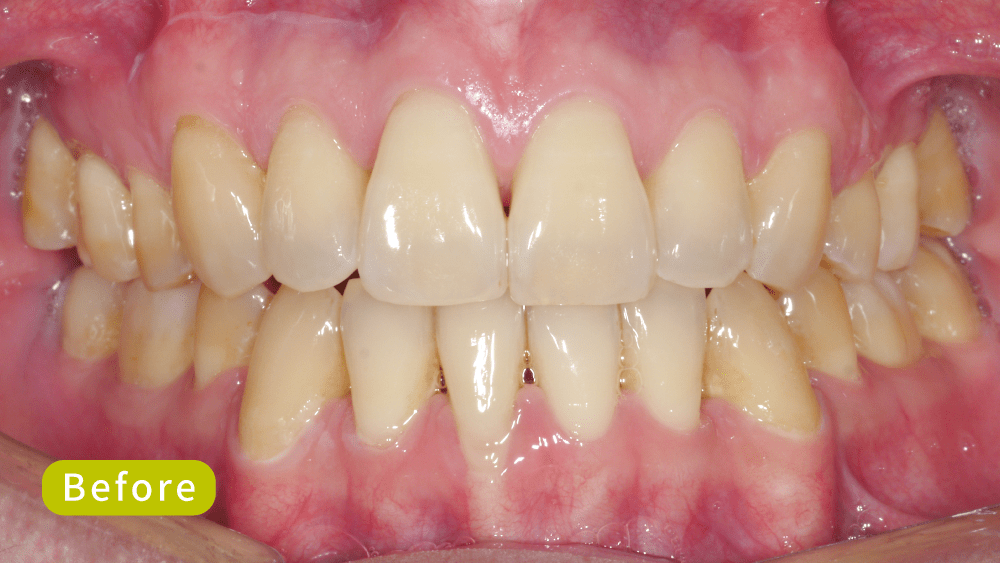
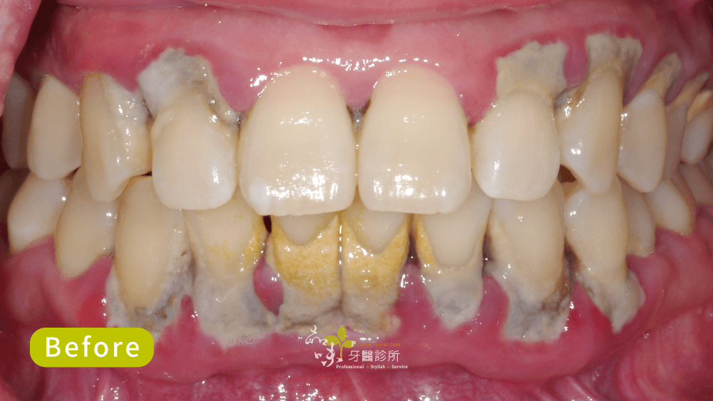
嚴重牙周病治療

嚴重牙周病治療

牙根覆蓋術

醫師文章

Article

知識影片

Knowledge Videos

【水雷射治療v.s.傳統手術】水雷射克服傳統手術缺陷!Feat.黃頌恩醫師

牙冠增長能讓微笑時擁有飽滿貝齒~也是蛀牙太深治療中的好選擇! Feat.黃頌恩醫師

【水雷射治療v.s.傳統手術】水雷射克服傳統手術缺陷!Feat.黃頌恩醫師

牙冠增長能讓微笑時擁有飽滿貝齒~也是蛀牙太深治療中的好選擇! Feat.黃頌恩醫師

更多影片

聯絡品味

CONTACT US

品味牙醫團隊將以專業與用心,提供最合適的治療。