Skip to content
關於品味
醫療團隊
治療項目
數位微創精準植牙
植體終身保固
植牙假牙
牙齒矯正
牙周病治療
水雷射
贋復假牙
全瓷冠
3D齒雕
陶瓷貼片
All-on-4全口重建
兒童牙科
口腔外科
前牙美學
牙齒美白
活髓保存術
顯微根管治療
TCI鎮靜麻醉
針孔微創牙齦手術
除汞
文章專欄
牙周牙齦
蛀牙根管
牙齒矯正
缺牙植牙
假牙復形
美白美容
兒童牙科
All-on-4 全口重建
牙科衛教
採訪專欄
牙科常見問題
影片專區
牙周牙齦
蛀牙根管
牙齒矯正
缺牙植牙
贋復假牙
美白美容
All-on-4全口重建
牙科衛教
牙科日常
案例分享
牙周牙齦
牙齒矯正
數位植牙
贋復假牙
牙齒美白
前牙美學
All-on-4全口重建
最新消息
聯絡品味
首頁
/
醫療團隊
/
楊雅竹醫師
楊雅竹 醫師
YANG YA JHU
家庭牙科/贋復牙科
水雷射牙周治療
臺北醫學大學牙醫學士
臺北醫學大學附設醫院醫師
恩主公醫院牙科總醫師
中華民國植牙醫學會副秘書長
中華民國口腔雷射醫學會會員
全口重建
水雷射
牙周病治療
全瓷冠假牙
微創齒雕
家庭牙科
活髓保存術
牙齒美白
噴砂美白
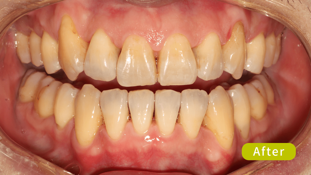
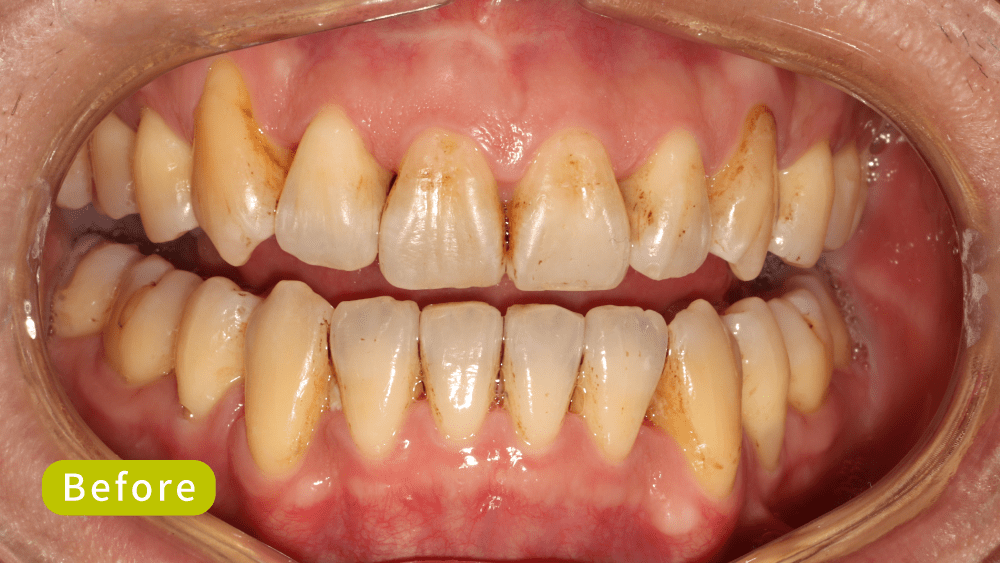
臨床案例
Cases
更多案例
冷光美白
噴砂美白
噴砂美白+補牙
噴砂美白
前牙全瓷冠牙套案例
更多案例
醫師文章
Article
更多文章
活動假牙多種形式!你適合哪一種?讓專業醫師幫你評估看看吧
2026.02.26
牙齒上刷不掉的白斑是病嗎?該如何治療
2026.01.23
掌握這些秘訣~就能讓小孩的牙齒長得健康又漂亮!
2024.11.22
活動假牙睡覺也能帶著嗎?會造成牙齦萎縮?
2024.10.22
更多文章
聯絡品味
CONTACT US
品味牙醫團隊將以專業與用心,提供最合適的治療。
Facebook粉專
新竹品味牙醫診所
Instagram
品味牙醫
@prevaildental
Youtube頻道
牙科小教室
-牙醫師回答你的問題
關於品味
醫療團隊
治療項目
數位植牙
數位精準微創植牙
植體終身保固
植牙假牙
牙齒矯正
牙周病治療
水雷射
贋復假牙
贋復假牙
全瓷冠
3D齒雕
陶瓷貼片
All-on-4
兒童/青少年牙科
口腔外科
前牙美學
牙齒美白
活髓保存術
顯微根管治療
TCI 鎮靜麻醉
針孔微創牙齦手術
除汞
文章專欄
牙周牙齦
蛀牙根管
牙齒矯正
缺牙植牙
假牙復形
美白美容
兒童牙科
All-on-4 全口重建
牙科衛教
採訪專欄
影片專區
牙周牙齦
蛀牙根管
牙齒矯正
缺牙植牙
假牙復形
美白美容
All-on-4全口重建
牙科衛教
牙科日常
案例分享
牙周牙齦
牙齒矯正
數位植牙
假牙復形
牙齒美白
前牙美學
All-on-4全口重建
最新消息
聯絡品味