陶瓷貼片

Veneer

陶瓷貼片是什麼?

陶瓷貼片顧名思義就是由陶瓷材質製成,附著在牙齒表面的薄片狀,也常被稱為瓷牙貼片、全瓷貼片、牙齒美白貼片。陶瓷貼片的材質為目前牙科使用廣泛且被認爲目前最為美觀自然的材質,其強度也非常高甚至超過真牙的強度。透過將牙齒外側修磨掉少少的0.2~0.5mm,並將陶瓷貼片貼附在牙齒外側,藉此改善牙齒的形狀、顏色、長度,甚至還可以改善輕微的牙齒不整齊

什麼狀況適合使用陶瓷貼片?

1

對牙齒顏色感到困擾

對牙齒顏色尤其是前牙不滿意,如:牙齒黃或暗沉、顏色不均、牙齒染色,陶瓷貼片可以快速改善牙齒顏色。

2

齒縫過大想改善

牙齒間有縫隙(如矯正後的黑三角),可以藉由陶瓷貼片將牙齒間的縫隙填補。

3

牙齒輕微缺損需修補

牙齒斷裂一小角或是有輕微蛀牙,使用貼片即可完成修補。

4

牙齒排列「輕微」不整齊

陶瓷貼片可以些微改善牙齒的形狀,但若是前牙位置差距過大,會建議先與矯正醫師溝通治療計畫。

5

對牙齒微笑曲線不滿意

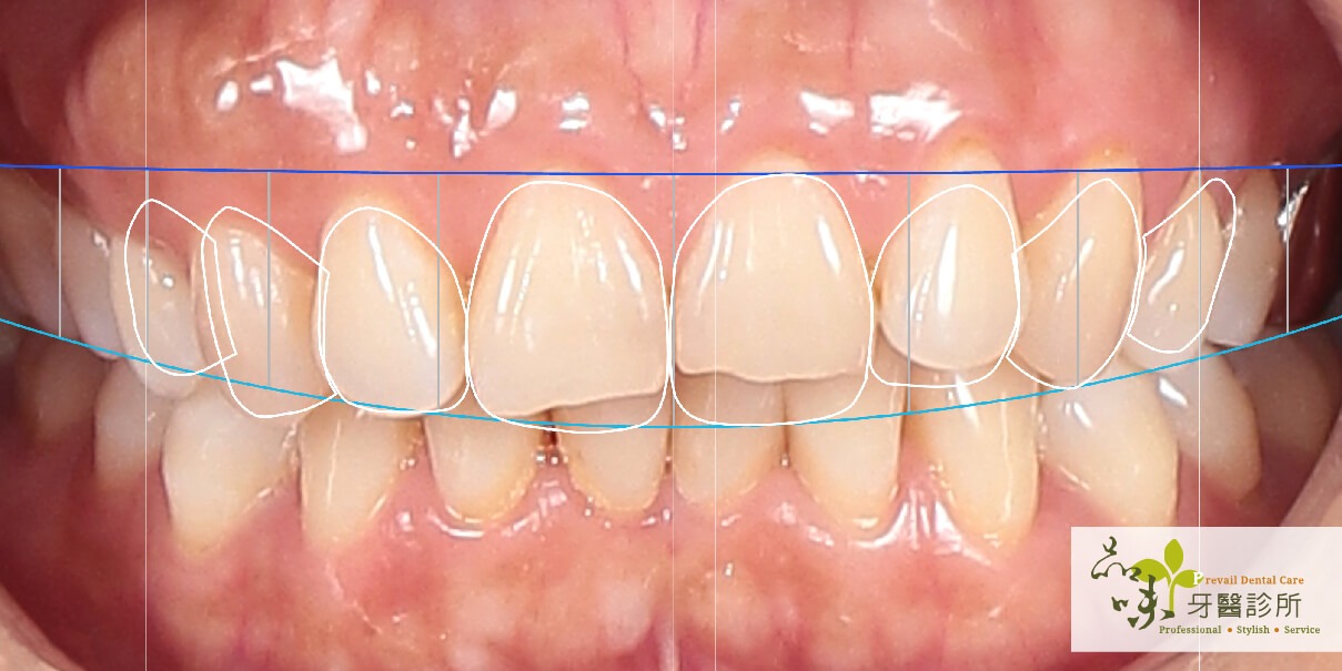
若不滿意牙齒微笑曲線較死板,可與醫師溝通以陶瓷貼片改善微笑曲線

6

牙齒長短不齊

透過陶瓷貼片可以改善牙齒長短不齊的困擾

陶瓷貼片優點

顏色自然、透光性高

陶瓷是目前認為最美觀自然的材質,且優質的牙技師與醫師能夠創造出如同真牙一樣的透光性。而且陶瓷材質不易損壞變色。

美白牙齒效果持續

陶瓷貼片若是有合理保養,只要沒有破損美白牙齒效果可以持續維持。

牙齒修磨量少

陶瓷貼片只需要針對牙齒表面修磨0.2~0.5mm的厚度,因為不會損傷到象牙質所以也不會引起牙齒敏感。

調整牙齒形狀大小、外觀

陶瓷貼片除了可以讓牙齒顏色煥然一新以外,還可以連牙齒形狀大小、外觀排列作出調整,若是你牙齒間有惱人的縫隙更可以藉由陶瓷貼片填補。

不易變色、染色

陶瓷貼片若有良好處理其表面的孔隙比琺瑯質還小,所以污垢色素可以較輕易的在陶瓷貼片上被去除。若平時有做好口腔護理,亮白的效果可以維持許多年。

顏色自然、透光性高

陶瓷是目前認為最美觀自然的材質,且優質的牙技師與醫師能夠創造出如同真牙一樣的透光性。而且陶瓷材質不易損壞變色。

美白牙齒效果持續

陶瓷貼片若是有合理保養,只要沒有破損美白牙齒效果可以持續維持。

牙齒修磨量少

陶瓷貼片只需要針對牙齒表面修磨0.2~0.5mm的厚度,因為不會損傷到象牙質所以也不會引起牙齒敏感。

調整牙齒形狀大小、外觀

陶瓷貼片除了可以讓牙齒顏色煥然一新以外,還可以連牙齒形狀大小、外觀排列作出調整,若是你牙齒間有惱人的縫隙更可以藉由陶瓷貼片填補。

不易變色、染色

陶瓷貼片若有良好處理其表面的孔隙比琺瑯質還小,所以污垢色素可以較輕易的在陶瓷貼片上被去除。若平時有做好口腔護理,亮白的效果可以維持許多年。

陶瓷貼片跟全瓷冠假牙的差異

陶瓷貼片全瓷冠
使用方式改善牙齒顏色與美觀
修復微量局部受創的牙齒
改善牙齒顏色與美觀
修復嚴重受創的牙齒恢復牙齒功能
材質二矽酸鋰二矽酸鋰、二氧化鋯
適用範圍前牙美觀區整個口腔都適用
包覆範圍牙齒外側整顆牙齒套起來
修磨牙齒程度極少,牙齒表面 0.2~0.5 mm高,需將整顆牙磨小,再套上全瓷冠

陶瓷貼片價格

陶瓷貼片的價格主要是以製作的貼片數量來計算,根據您的需求來評估需要的陶瓷貼片數量。

影響陶瓷貼片的價格的因素有以下:

  • 瓷塊品牌:診所是否使用的是國際大廠的瓷塊品牌,品質優良有有保證。
  • 牙醫師專業技術
  • 診所高階醫療器材
  • DSD微笑設計:結合臉部照片、 數位口內掃描機和設計軟體,讓你即刻預見未來的微笑成果,也可和醫生討論,在電腦上直接進行微調。一同參與自己的微笑設計,不用擔心做了才發現成果不如預期。
微笑設計案例(范姜郁欣醫師提供)

陶瓷貼片治療流程

Step 01

初次諮詢、評估

在初次看診時,會有牙醫師評估口腔目前狀況,判斷目前是否適合陶瓷貼片療程。同時間若您有蛀牙、牙周問題、牙齒排列嚴重不齊、缺損範圍過大⋯⋯等問題,也會針對現況給予您專業的治療建議,並與診所內其他專業醫師協同治療。

Step 02

資料收集、擬定治療計畫

醫師會拍攝口腔照片、搭配高規格電腦斷層系統,並利用3shape 口內數位掃描機、傳統取模等方式取得牙齒數位模型。

Step 03

D.S.D. 數位微笑設計

可以用數位設計分析出最適合您的微笑曲線,並預覽模擬您口中未來的笑容,預先看見治療後大致上的成效。

Step 04

試戴臨時貼片,進行微調

會先將牙齒修磨並讓您配戴由牙醫師製作的臨時貼片,如有需修改之處,醫師再進行微調。即使是臨時貼片也會讓您美美的回家,也讓正式貼片的結果更趨完美。

Step 05

戴上正式貼片

醫師利用特殊醫療黏著劑,將陶瓷貼片緊密的貼合在修磨過的真牙表面上,不會留下縫隙,最後攜著嶄新笑容回家。

陶瓷貼片常見問題Q&A

一定要磨牙嗎?

陶瓷貼片磨牙是為了讓貼片完美平滑地貼合在牙齒上,也讓陶瓷貼片更穩固的貼合牙齒。陶瓷貼片只修磨牙齒外側、且現今技術發達修磨量極少(0.2~0.5mm)不會影響到牙齒功能,也不會造成牙齒敏感。但若您牙齒有過蛀牙或填補,醫師會再跟另外評估,與您溝通時選擇最合適的治療計畫。不須磨牙的陶瓷貼片反而有可能因無法密合造成清潔不易,導致蛀牙等後果。

會不會造成牙齒敏感?

陶瓷貼片只會將牙齒表面研磨約0.2~0.5mm,僅會磨到牙齒琺瑯質的部分不會損傷到造成牙齒敏感的牙本質,故不會造成牙齒敏感,但剛施作陶瓷貼片的人前幾天可能會有暫時性的敏感過幾天即可緩解。

如果其他顆牙齒也想要做美白,可以一起完成嗎?

因陶瓷貼片會根據您當前牙齒顏色去製作,因此通常會推薦做完美白療程後,再製作陶瓷貼片。

陶瓷貼片容易掉嗎?會壞嗎?

陶瓷貼片會掉嗎是最常有人詢問的問題,只要藉由專業牙醫師施作的陶瓷貼片會因為自然因素脫落的可能性很低。但即便是正常的牙齒若啃咬過度強韌的食物,也是有可能造成真牙斷裂,故一般有不良飲食習慣、無法維持口腔清潔、有夜間磨牙的民眾,在做陶瓷貼片時與牙醫師做充分溝通。

哪些人不適合陶瓷貼片需要多跟牙醫師評估?

如果你屬於習慣性磨牙、牙周萎縮、孩童與青少年這三種類型,建議您跟牙醫師詳細評估。習慣性磨牙容易造成貼片磨損,若仍想要施作需要製作咬合板;陶瓷貼片可能會刺激牙周,故原有牙周萎縮的患者需要多加評估;孩童與青少年建議在成年之後再考慮此療程。

一定要選擇專業合法的牙醫診所

仿間有許多非法美齒店家沒有醫療背景卻幫消費者進行療程,接受這種服務風險非常高。接受陶瓷貼片療程時一定要選擇合法的牙醫診所,並且確定店家幫你製作的貼片是全陶瓷的材質而不是劣質的樹脂材料。別追求價格上的便宜而忽略專業,不然裝到不良或劣質的陶瓷貼片不僅得承受美齒變暴牙、不可逆的後遺症,嚴重的還失去一生只有一副的牙齒健康。請參考品味郭彥君牙醫師撰寫《不想做牙齒貼片後悔,陶瓷貼片磨牙前要知道的笑容設計》、《不可逆的危險療程──「韓式水晶牙雕」的真相

正規陶瓷美白貼片非正規牙齒貼片
術前諮詢
口內印模
術前口內外攝影
專業技工所製作
專業牙醫師施作★★★
合格陶瓷貼片材料
醫療專用黏著劑

品味牙醫陶瓷貼片相關影片&文章

好文分享

影片

【假牙大揭秘】—下集:一顆渾然天成的假牙是如何形成的?能將假牙做的跟自然牙一模一樣的關鍵是什麼?Feat.范姜郁欣醫師&黃允正技師

【假牙大揭秘】—上集:一顆渾然天成的假牙是如何形成的?公開假牙製作關鍵以及幕後推手是誰?!Feat.范姜郁欣醫師&黃允正技師

小朋友照X光會有危險嗎?看牙醫為什麼要照X光?|牙科小教室-牙醫師回答你的問題07

【假牙大揭秘】—下集:一顆渾然天成的假牙是如何形成的?能將假牙做的跟自然牙一模一樣的關鍵是什麼?Feat.范姜郁欣醫師&黃允正技師

【假牙大揭秘】—上集:一顆渾然天成的假牙是如何形成的?公開假牙製作關鍵以及幕後推手是誰?!Feat.范姜郁欣醫師&黃允正技師

小朋友照X光會有危險嗎?看牙醫為什麼要照X光?|牙科小教室-牙醫師回答你的問題07

更多影片

新竹陶瓷貼片診所推薦|品味牙醫,陪你品味人生

X-Guide

數位導航系統

 

數位導航植牙手術為目前相當精準、安全的植牙方式,全台少有牙科診所配備。

利用 GPS 般的光學動態追蹤功能,警示安全範圍,即時修正,避免傷害重要部位。

3shape

口內數位掃描機

 

透過雷射光快速掃描牙齒,結合投影機和照相器材功能,運用在口腔掃描,快速取得牙齒影像。再應用軟體建立牙齒模型,提供醫師做模擬、修復,將檔案上傳雲端到牙體製作中心而進行製作。

Biolase WATERLASE MDX 高階水雷射儀器

 

水雷射結合水與雷射能量,能精準處理牙齒與牙周組織,並具殺菌與促進恢復效果。品味牙醫採用表淺型 Er,Cr:YSGG 水雷射,避免熱能傷害,治療更安全舒適。

3D 電腦斷層CT系統

 


KaVo OP 3D Pro 的輻射安全提升,電子偵測每人適合的輻射劑量,以減少人為疏失,並限縮拍攝範圍,減少不必要的輻射接觸。高清細節,協助醫師診斷更精確,影像分析功能讓植牙、矯正計畫更臻完善。

德國萊卡牙科顯微鏡

 

德國萊卡牙科專用顯微鏡,具備專利光學與LED照明,能清晰放大牙齒細節,協助醫師精準診斷與治療。內建 Full HD 影像系統,深窄處也無死角,讓醫療更精細、安全,提升術後成果。

德國精密冷光美白機

 

WHITEsmile 結合最新 LED 藍紅光技術與專業美白凝膠,只需短時間即可達到明顯美白效果。由牙醫專業監督操作,能有效改善外在染色,效果約可維持 6 個月至 1 年,讓笑容更自信亮白。

X-Guide 數位導航系統

 

數位導航植牙手術為目前相當精準、安全的植牙方式,全台少有牙科診所配備。

利用 GPS 般的光學動態追蹤功能,警示安全範圍,即時修正,避免傷害重要部位。

3shape 口內數位掃描機

 

透過雷射光快速掃描牙齒,結合投影機和照相器材功能,運用在口腔掃描,快速取得牙齒影像。再應用軟體建立牙齒模型,提供醫師做模擬、修復,將檔案上傳雲端到牙體製作中心而進行製作。

Biolase WATERLASE MDX 高階水雷射儀器

 

水雷射結合水與雷射能量,能精準處理牙齒與牙周組織,並具殺菌與促進恢復效果。品味牙醫採用表淺型 Er,Cr:YSGG 水雷射,避免熱能傷害,治療更安全舒適。

3D 電腦斷層 CT系統

 


KaVo OP 3D Pro 的輻射安全提升,電子偵測每人適合的輻射劑量,以減少人為疏失,並限縮拍攝範圍,減少不必要的輻射接觸。高清細節,協助醫師診斷更精確,影像分析功能讓植牙、矯正計畫更臻完善。

德國萊卡牙科顯微鏡

 

德國萊卡牙科專用顯微鏡,具備專利光學與LED照明,能清晰放大牙齒細節,協助醫師精準診斷與治療。內建 Full HD 影像系統,深窄處也無死角,讓醫療更精細、安全,提升術後成果。

德國精密冷光美白機

 

WHITEsmile 結合最新 LED 藍紅光技術與專業美白凝膠,只需短時間即可達到明顯美白效果。由牙醫專業監督操作,能有效改善外在染色,效果約可維持 6 個月至 1 年,讓笑容更自信亮白。

※聲明:本所療程皆由專業醫生評估後,依照個人口腔狀況進行治療。 因每位患者個別狀況不同,術後狀況也不盡相同,需親來本所由醫生評估。※

聯絡品味

CONTACT US

品味牙醫團隊將以專業與用心,提供最合適的治療。