Skip to content
關於品味
醫療團隊
治療項目
數位微創精準植牙
植體終身保固
植牙假牙
牙齒矯正
牙周病治療
水雷射
贋復假牙
全瓷冠
3D齒雕
陶瓷貼片
All-on-4全口重建
兒童牙科
口腔外科
前牙美學
牙齒美白
活髓保存術
顯微根管治療
TCI鎮靜麻醉
針孔微創牙齦手術
除汞
文章專欄
牙周牙齦
蛀牙根管
牙齒矯正
缺牙植牙
假牙復形
美白美容
兒童牙科
All-on-4 全口重建
牙科衛教
採訪專欄
牙科常見問題
影片專區
牙周牙齦
蛀牙根管
牙齒矯正
缺牙植牙
贋復假牙
美白美容
All-on-4全口重建
牙科衛教
牙科日常
案例分享
牙周牙齦
牙齒矯正
數位植牙
贋復假牙
牙齒美白
前牙美學
All-on-4全口重建
最新消息
聯絡品味
首頁
/
醫療團隊
/
陳小貞醫師
陳小貞 醫師
Sophia Langford
家庭牙科
美國佛羅里達大學牙醫學博士
美國牙醫師執業執照
Pinhole Surgical Technique 針孔微創牙齦手術受訓合格醫師(2015年結訓)
針孔微創牙齦手術
家庭牙科
牙齒美白
噴砂美白
牙齦微整重建達人陳小貞醫師
懂齒懂齒-陳泰隆醫師
懂齒懂齒-陳泰隆醫師
臨床案例
Cases
更多案例
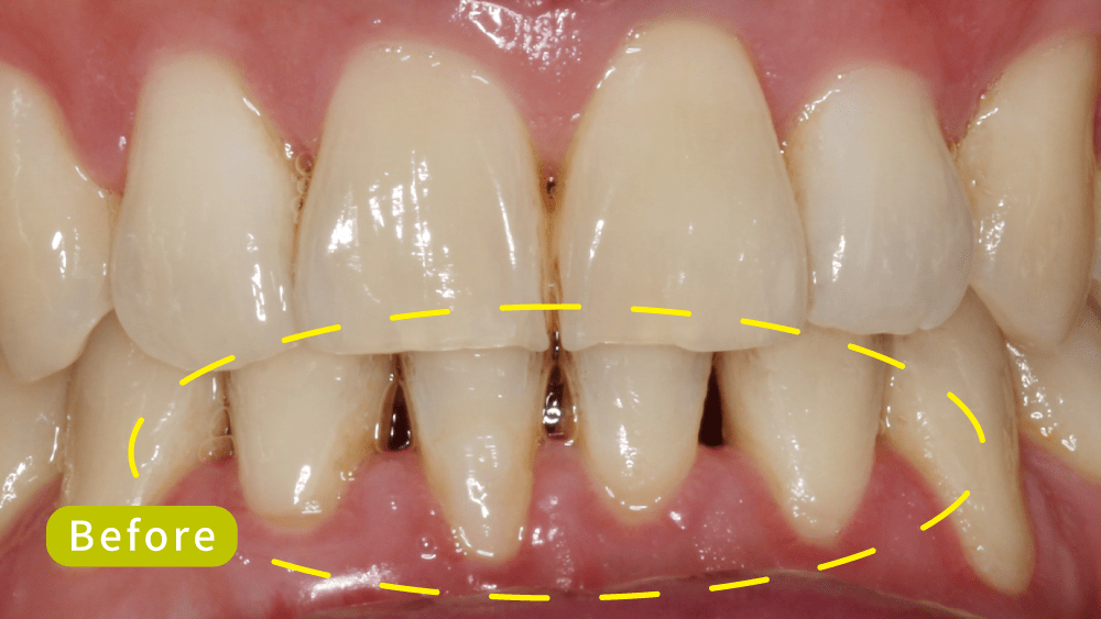
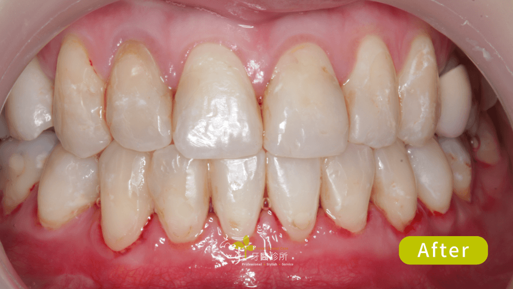
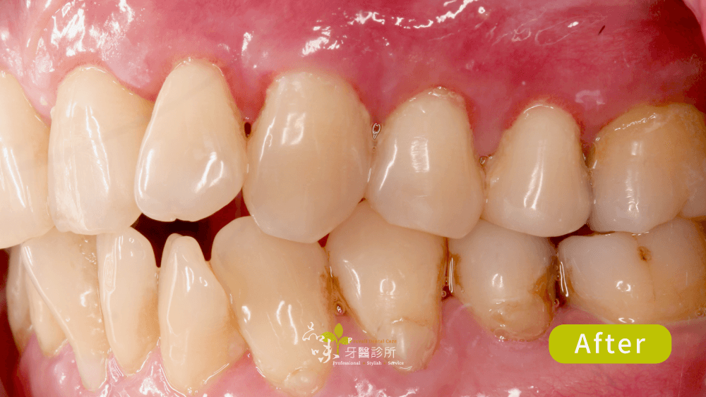
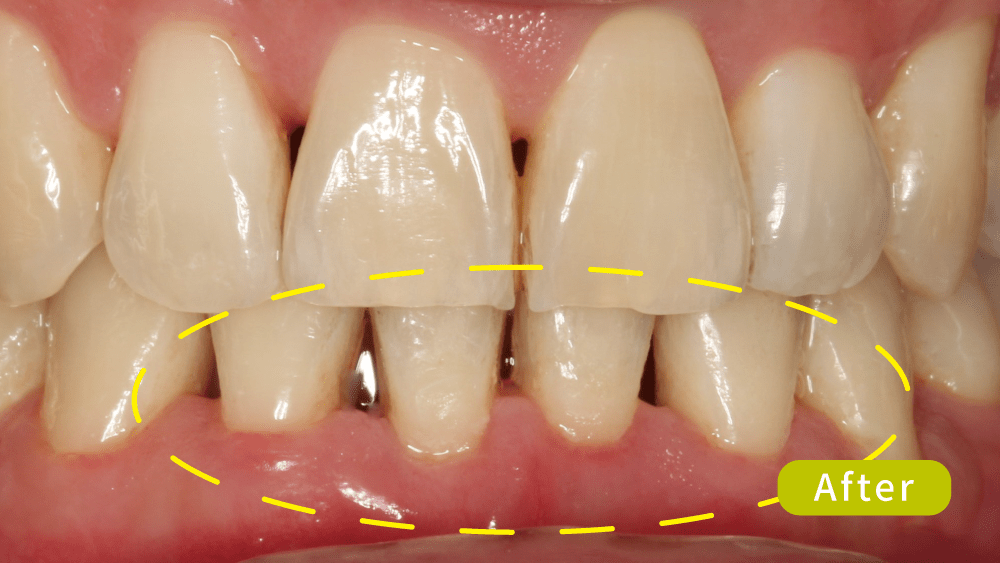
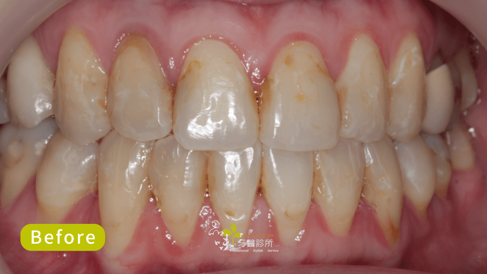
針孔微創牙齦手術
針孔微創牙齦手術
針孔微創牙齦手術
針孔微創牙齦手術
下排前牙針孔微創牙齦手術
更多案例
醫師文章
Article
更多文章
原來牙齦萎縮能恢復?一次了解微創牙齦再生手術 PST
2023.12.18
牙齦萎縮治療:針孔微創牙齦再生手術 PST
2021.06.29
牙齒長期敏感不舒服,你也有牙齦萎縮嗎?
2021.06.24
更多文章
聯絡品味
CONTACT US
品味牙醫團隊將以專業與用心,提供最合適的治療。
Facebook粉專
新竹品味牙醫診所
Instagram
品味牙醫
@prevaildental
Youtube頻道
牙科小教室
-牙醫師回答你的問題
關於品味
醫療團隊
治療項目
數位植牙
數位精準微創植牙
植體終身保固
植牙假牙
牙齒矯正
牙周病治療
水雷射
贋復假牙
贋復假牙
全瓷冠
3D齒雕
陶瓷貼片
All-on-4
兒童/青少年牙科
口腔外科
前牙美學
牙齒美白
活髓保存術
顯微根管治療
TCI 鎮靜麻醉
針孔微創牙齦手術
除汞
文章專欄
牙周牙齦
蛀牙根管
牙齒矯正
缺牙植牙
假牙復形
美白美容
兒童牙科
All-on-4 全口重建
牙科衛教
採訪專欄
影片專區
牙周牙齦
蛀牙根管
牙齒矯正
缺牙植牙
假牙復形
美白美容
All-on-4全口重建
牙科衛教
牙科日常
案例分享
牙周牙齦
牙齒矯正
數位植牙
假牙復形
牙齒美白
前牙美學
All-on-4全口重建
最新消息
聯絡品味