撰文/黃德容(新竹品味牙醫牙助)
指導/陳小貞醫師
牙齦萎縮總是發現得太晚?嚴重牙齦萎縮想做牙齦修補手術,有什麼選擇呢?這篇文章想和你分享的是針孔微創牙齦再生手術 PST,是一種比傳統牙肉移植手術傷口更小、更微創的牙齦再生手術。
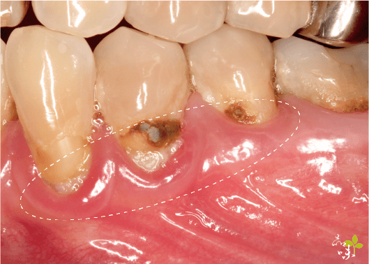
牙齦萎縮的過程很慢,不太容易被察覺,很多患者都是覺得最近吃東西、喝飲料感到痠痛敏感來就診,醫生檢查後,可能發現有這幾種狀況:
牙齦萎縮的現象
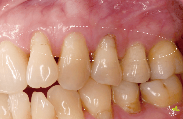
- 某幾顆牙齒齒頸部露出、形成一個 V 字型。
- 假牙邊緣外露,牙冠以下露出來。
- 牙縫有變大的傾向。
嚴重牙齦萎縮,可能造成你在飲食或美觀上的困擾。如果希望將牙齦修補回來,除了常見傳統的牙肉移植手術,還有一種叫做針孔微創牙齦再生手術 PST(Pinhole Surgical Technique)的方式。
兩種牙齦修補手術
傳統牙肉移植手術
直接移植上顎的軟組織(牙肉)來填補牙根裸露的區域,這種傳統的重建方式已經行之多年,你可能也聽說它被稱為「牙根覆蓋手術」。
針孔微創牙齦再生手術 PST


這項技術及器械是由美國 Dr. John Chao 所研發,他的訓練課程也只有在美國加州,目前全球合格的醫師已有數千人,大部分集中在美國。
針孔微創牙齦手術是一種傷口極小的牙齦萎縮治療方法。不需要取用上顎的牙肉,等於口內少了一個傷口。
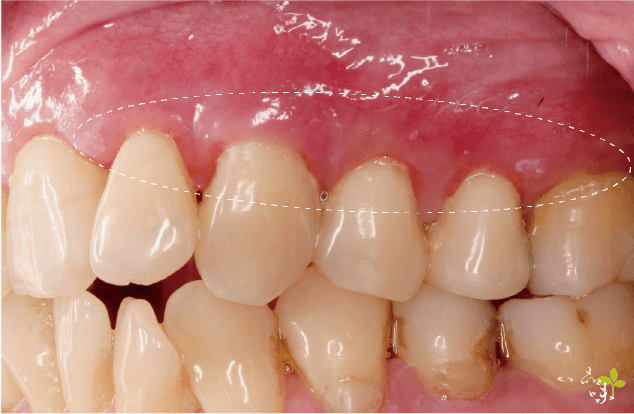
治療時,醫生會用特殊的針,在患部牙齦上刺一個小洞,接著使用專利的器械,透過這個針孔從內部翻瓣,再填入再生膜。一般來說,可以恢復原有牙齦高度的 80-90%。
針孔微創牙齦再生手術 PST
手術會痛嗎?手術後如何養護傷口?
雖然是小傷口的手術,但術後仍會腫脹一週左右,有些人可能會伴隨疼痛一至兩天,有些人稍微長一點會痛一個多禮拜,這是屬於身體的自然反應,大部分的病患都可以接受這樣的疼痛程度。
手術完後傷口(手術區域)六週內不能刷牙、不能用牙線、不能使用沖牙機,也不要因為好奇而翻開檢查,這些動作都會延緩傷口癒合的速度,也可能影響成效。
手術後能維持多久?牙齦還會萎縮嗎?
因人而異,如果造成萎縮的習慣沒有改變依然會萎縮,但因手術完後的牙齦變厚了,萎縮的速度會慢很多。
通常做完的病人牙齒敏感的狀況會改善很多,美觀上有改善,牙齒不會看起來這麼長。
誰適合做針孔微創牙齦再生手術?
針孔微創牙齦手術不是人人適合,在治療前醫生依然會根據你的狀況,給予不同的建議。
適合的類型:
- 刷牙太用力,或是其他原因造成的牙齒正面的牙齦萎縮。
- 天生牙齦很薄,年輕就開始牙齦萎縮。
不適合的類型:
牙周病
牙周病會造成齒槽骨破壞,進而導致牙齦隨齒槽骨消失而後退,這時建議先進行牙周病治療才是上策。
而當牙齒已經出現鬆動或嚴重動搖的情形時,甚至是需要拔牙的情況,針孔微創牙齦手術是無效的。
牙齒縫、黑三角
牙齒縫中間未完全閉合所形成的三角形被稱為「黑三角」,這個問題目前並未有標準手術治療方式。如果你真的想改善牙縫和黑三角,可以考慮製作陶瓷貼片或牙齒矯正時磨掉些許表層齒質,藉由矯正將縫隙變小或關閉。
治療區域位於後牙區、舌側區
舌側區是無法用微創牙齦手術治療的;後牙區的成功率比較低,因我們在吃咀嚼、說話時,比較容易拉扯到後牙區的肌肉,這都會影響手術成效。
正在矯正中
矯正除了移動牙齒,牙肉也會跟著貼附的牙齒所挪動,因此,最好是等到矯正結束後再進行牙齦治療。
植牙區域
牙肉是攀附自然牙齒生長,而植牙區域是人工牙根和假牙冠的組合,如果要利用針孔微創牙齦手術拉回牙齦是無效的。
結語
牙齦萎縮的困擾時常造成患者的不適,當你察覺牙齦萎縮的存在時,可能已經出現了敏感的情形,甚至嚴重影響生活品質。除了藉由手術方式拉回牙齦高度,也記得要維持口腔清潔、正確刷牙,杜絕牙齦萎縮的來源,讓牙齦能夠使用得更長久。
<p>新竹品味牙醫 Prevail Dental Care</p>
陳小貞 醫師
學經歷|
美國佛羅里達大學牙醫學博士
美國牙醫師執業執照
Pinhole Surgical Technique 針孔微創牙齦手術受訓合格醫師(2015 年結訓)
追蹤更多陳小貞醫師 ▸
臉書:牙齦微整重建達人陳小貞醫師 Now Offering Pinhole Surgical Technique. 針孔微創牙齦再生手術
本篇文章由陳小貞牙醫師撰寫審閱
*本站文章內容及圖片均受中華民國著作權法及相關法令保護,非經品味牙醫診所及作者同意前不得轉載、重製、散佈、改作、轉貼、播送或作為背書等行為,以免觸法。引用句子請附上原文標題、作者及原文網址。如需轉載請來信洽談。
※ 聲明:文章為醫師經驗談,每人口腔情形不盡相同,如有不適即早就醫檢查才是正解 ※









